Get The BEST Deal On
All-Inclusive Invisalign

Transform Your Smile Seamlessly with Invisalign®

Experience the epitome of discretion in teeth straightening through tray or aligner systems, a contemporary approach to achieving a beautifully aligned smile. Crafted with advanced software and 3D digital models of your teeth, a series of clear plastic trays work harmoniously to produce desired straightening results. These trays, made from medical-grade plastic and devoid of wires, metal, springs, or rubber bands, gently guide your teeth into their designated positions. The gradual pressure exerted on specific teeth with each aligner ensures minimal discomfort and often leads to shortened treatment times.

Before

After

Explanation: Patient hated the how her smile looked with her upper front teeth crossing over her lower front teeth. She finally made the decision to move the teeth with INVISALIGN into the correct position. The result was amazing! She now enjoys smiling big for her photos and showing off her beautiful smile.

Before

After

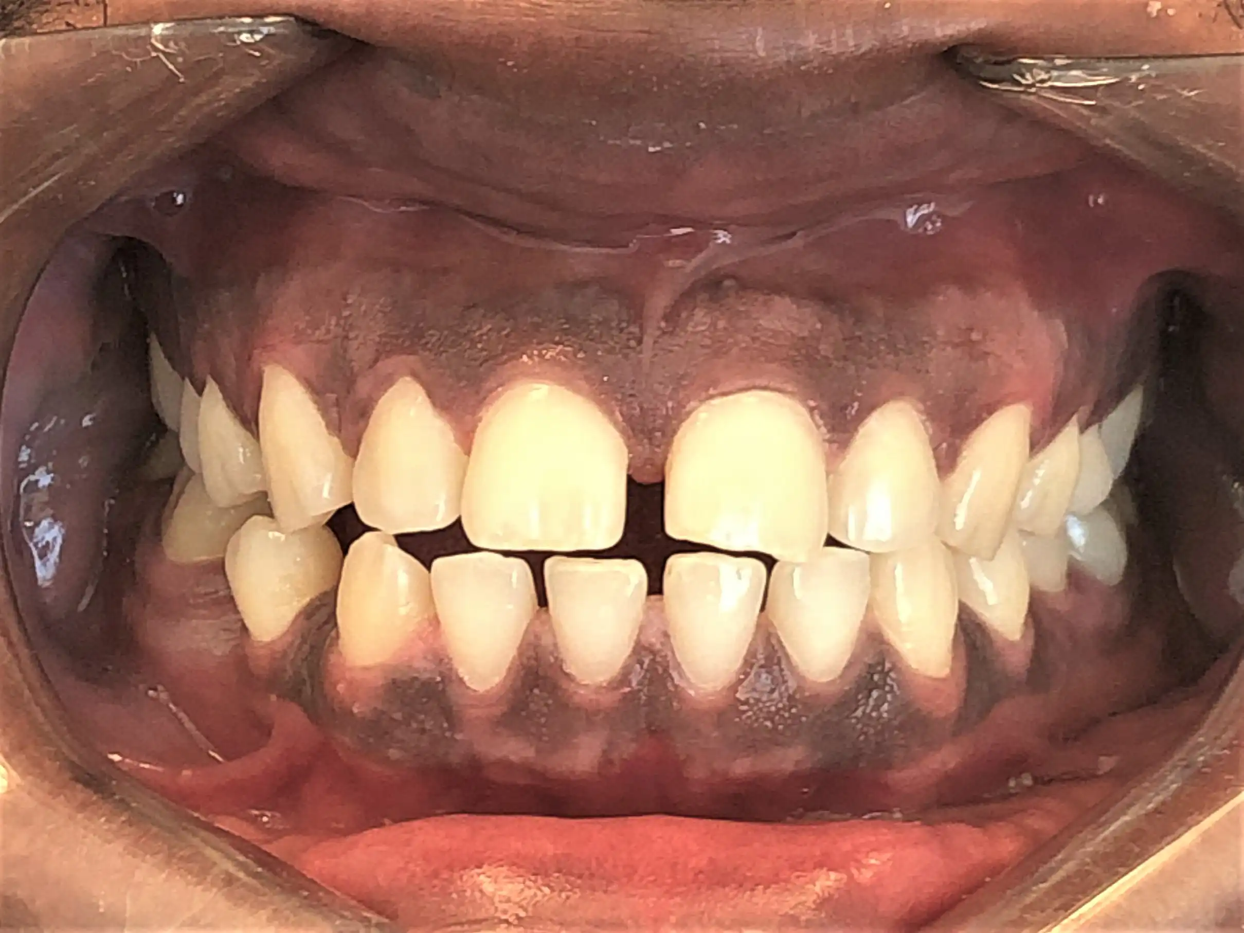
Explanation: Patient had gaps in his teeth since he was a teen. Through INVISALIGN treatment we were able to close the gaps in his teeth and restore his teeth to a more functional and esthetic one!

Your provider will furnish you with several sets of aligners, empowering you to transition to a new one at home every two weeks. The removable nature of these trays allows you to set them aside briefly for meals and cleaning, offering a convenient lifestyle without the intrusion of brackets and wires. The smooth plastic surface also provides unparalleled comfort to the tongue and cheeks compared to other straightening methods.

Consistent wear, at least 22 hours each day, is crucial for the success of your treatment. While Invisalign® works exceptionally well for adults, responsible teenagers can also benefit. Adults of all ages have embraced the advantages of achieving a straighter smile with aligners.

Invisalign® Can:

  • Straighten your teeth discreetly
  • Allow you to enjoy your favorite foods during treatment
  • Simplify cleaning and brushing routines
  • Close noticeable gaps
  • Correct overlap and crowding issues

A Tailored Approach for Everyone 

While aligner treatment is effective for 90% of straightening cases, some tooth movements may pose challenges or individuals may prefer the security of fixed braces. Dentistry now offers a diverse range of choices, allowing for personalized care based on your unique situation. Dr. Pak can guide you in discovering the most suitable path to achieve a straighter smile.

Consider incorporating whitening into your plan to eliminate years of yellow stain accumulation. In certain cases, the aesthetic appeal of porcelain can elevate a straight smile to new heights or even provide an alternative to orthodontics. You may also be pleasantly surprised to explore flexible payment options or discover insurance benefits that bring your treatment within closer reach than you initially thought.

Emergency Care

For more information or to schedule an appointment, call us at (214) 494-4246  or click the button below to contact us online.