Rated 5 stars by 600+ Clients on

Cosmetic Dentistry

Before

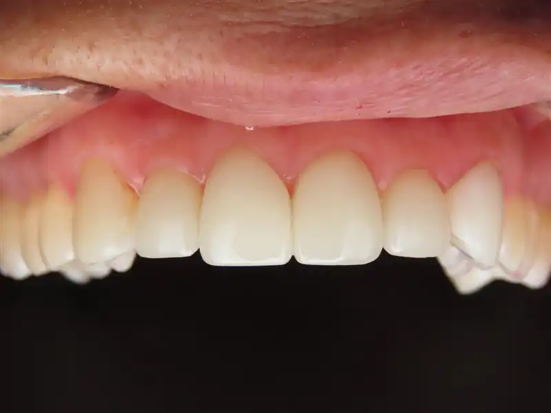
After

Explanation:  Patient presented to us with a chipped front tooth. We were able to repair her chipped tooth in 1 visit using a composite bonding technique. Patient had her smile back in one day!

Before

After

Explanation: Patient previously had veneers and crowns that were chipping and breaking. Patient’s smile was restored with all ceramic veneers and crowns that were designed based on the entire mouth to ensure better function and esthetics.

Before

After

Explanation: Patient was tired of the appearance of his teeth with chipping and breakage. Smile was designed before treatment and accepted by patient first before placing veneers on upper and lower teeth. Patient recieved a natural smile that looks and feels great!

Before

After

Explanation: Patient originally had composite bondings done to her 4 front teeth. Patient was unsatisfied with the looks and integrity of her teeth. 4 all ceramic veneers were used to transform her smile in to a much more natural and “flowing” smile.

Invisalign

Before

After

Explanation: Patient hated the how her smile looked with her upper front teeth crossing over her lower front teeth. She finally made the decision to move the teeth with INVISALIGN into the correct position. The result was amazing! She now enjoys smiling big for her photos and showing off her beautiful smile.

Before

After

Explanation: Patient had gaps in his teeth since he was a teen. Through INVISALIGN treatment we were able to close the gaps in his teeth and restore his teeth to a more functional and esthetic one!

Implant Full Mouth

Before

After

Explanation: Patient was unsatisfied with his existing upper denture and his lower teeth were breaking. Patient was not able to eat the foods that he loved. Through implants and modern dentistry Dr Pak transformed his smile into the one that he always wanted. Now he smiles all the time and chews wonderfully with his new teeth.

Emergency Care

For more information or to schedule an appointment, call us at (214) 494-4246  or click the button below to contact us online.